General Dentistry
Improve The Health & Confidence of Your Smile
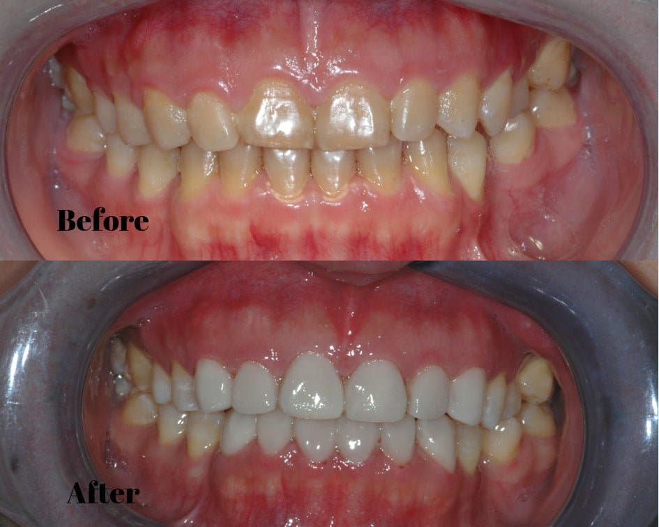
Maintain your beautiful smile with general dentistry for working professionals in North York.
As North York dentists we pride in our comprehensive yet individualized approach to dental problems. Our ultimate goal is to go beyond just fixing the issue at hand. We believe that seeing the big picture and discovering the root cause of a dental problem and developing the right solution for each individual is the key to long-term dental health and wellness.
Why are Regular
Check-Ups
Important?
Head, neck and lymph node checks
Maintaining tooth integrity by taking care of plaque, tartar and cavities
Prevention of gum disease
Troubleshooting and keeping bad habits in check
Early detection of oral cancer
Head, neck and lymph node checks
Prevention of gum disease
Early detection of oral cancer
Maintaining tooth integrity by taking care of plaque, tartar and cavities
Troubleshooting and keeping bad habits in check
We know what makes a beautiful smile
We’re not only concerned with fixing teeth. We’re here to keep your mouth healthy by professionally deep-cleaning your teeth and taking the time to scan for any abnormalities that may be developing but have so far gone unnoticed. These may flag other larger health issues, allowing you to seek early treatment. We also ensure that your teeth and jawbones are strong and in good shape, while identifying any habits you may have that might sabotage your dental health.
Good dentistry is as much an art as it is a science. That’s because how we look has a huge impact on how we feel. A beautiful smile can help carry us through the day. It makes us feel better about ourselves, and boosts our self-esteem.
At Dr. Ha & Associates, we believe in making your experience with us a positive one. We want you to think of visiting the dentist as something positive. That’s why we love to make you laugh!
At the core of our care is compassionate and honest treatment. Every procedure is discussed beforehand, so that you’re educated and comfortable.
Invest in your oral health. Come see us for a free consultation today.
Located on the Yonge subway line
Consultative approach
Built on honesty, integrity, and trust
Invest in your oral health. Come see us for a free consultation today.
Located on the Yonge subway line
Consultative approach
Built on honesty, integrity, and trust
