Gentle Dentistry.
Stunning Smiles.
Together we will find
a solution that’s right for you.
Dr. Gina Ha
DDS
We Care About Your Experience.


We know that visiting the dentist can be a little stressful. Going to a dentist you can trust, where you feel comfortable, is essential. That’s why we offer a relaxing environment with highly trained staff. We’re experts at helping patients feel comfortable and at ease.
We conduct in-depth consultations with you to collaboratively decide on your personal treatment.
We show you exactly what’s going on inside your mouth with our state-of-the-art imaging technology.
We keep you informed because we believe that with sharing, education and communication comes peace of mind.
We will always make sure you are comfortable with your payment plan. Special senior discounts and student rates available. Just talk to us.
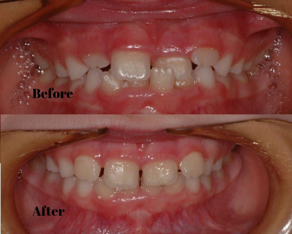
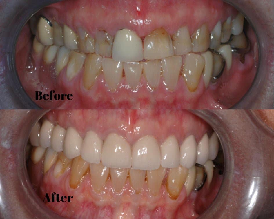
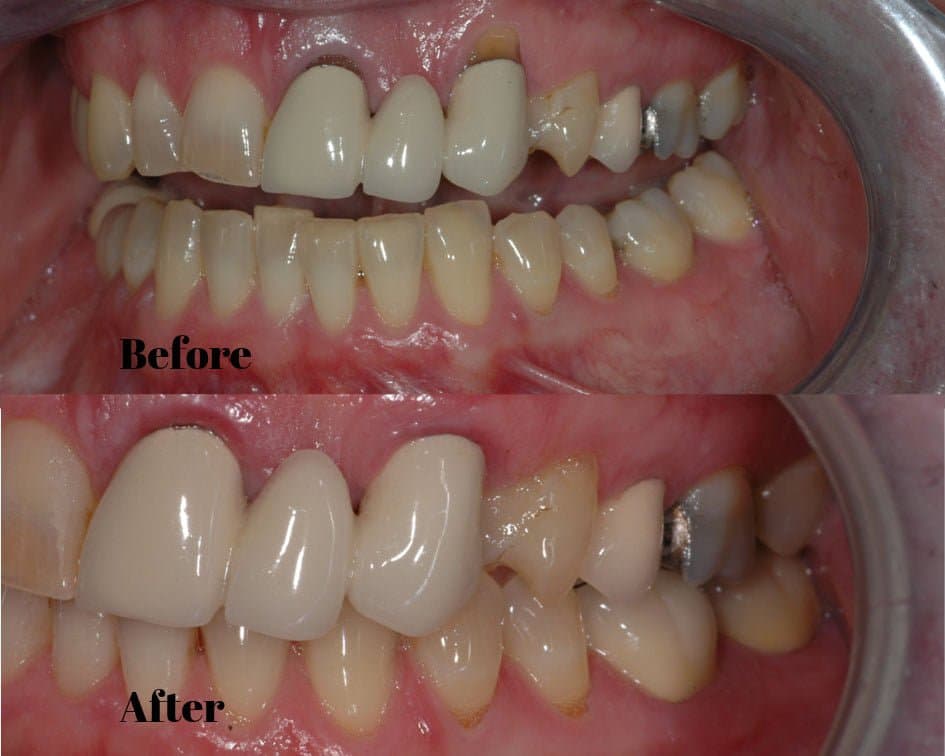
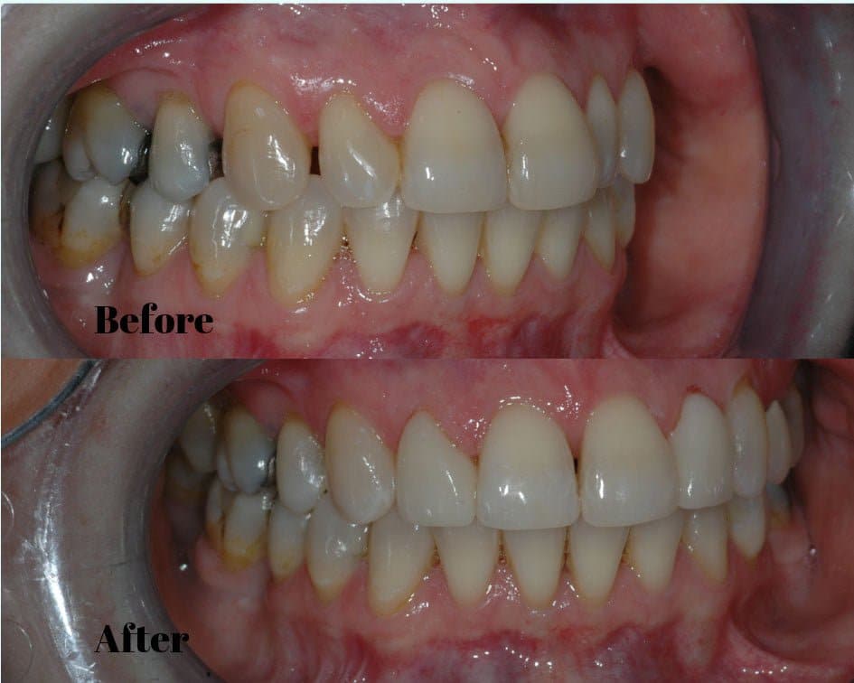
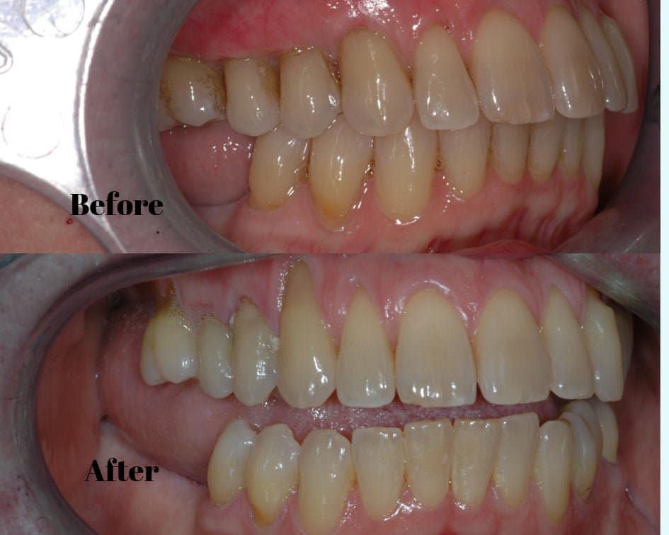
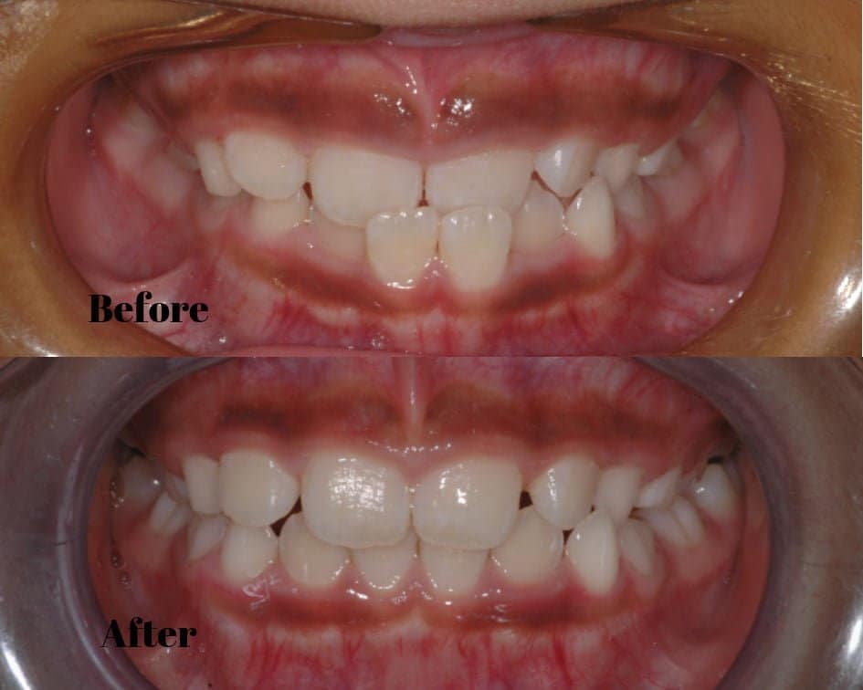
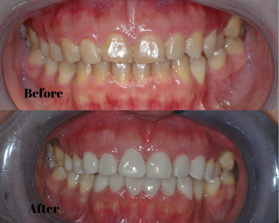
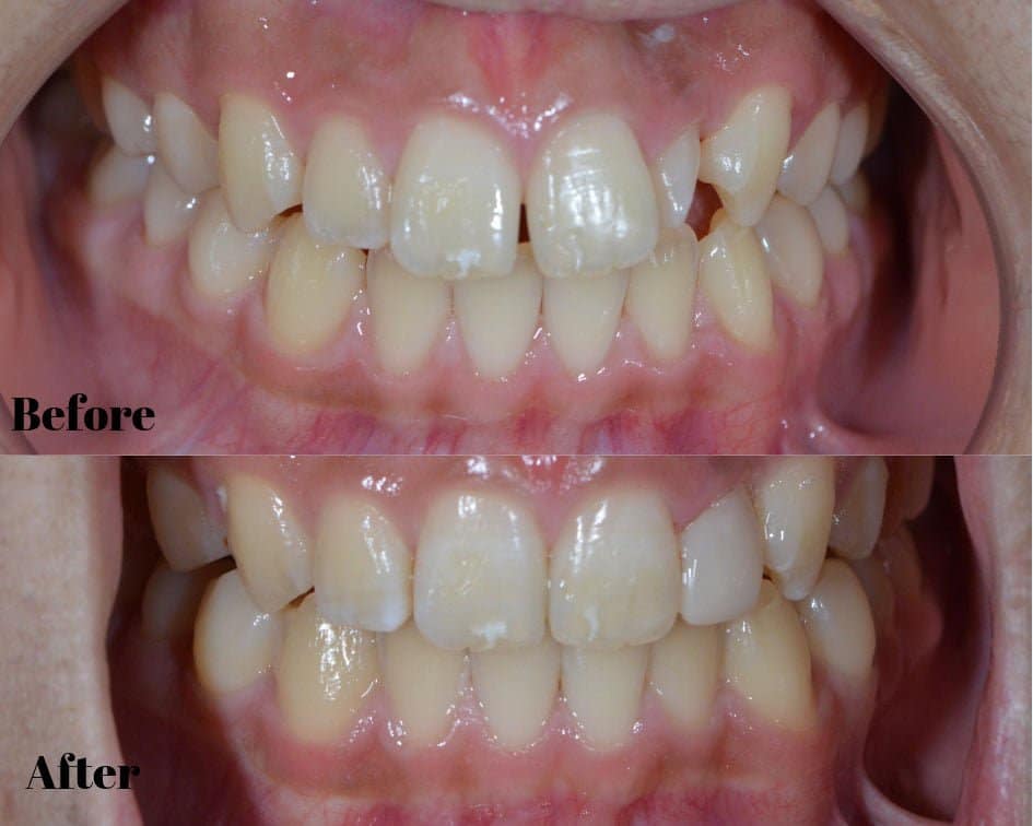
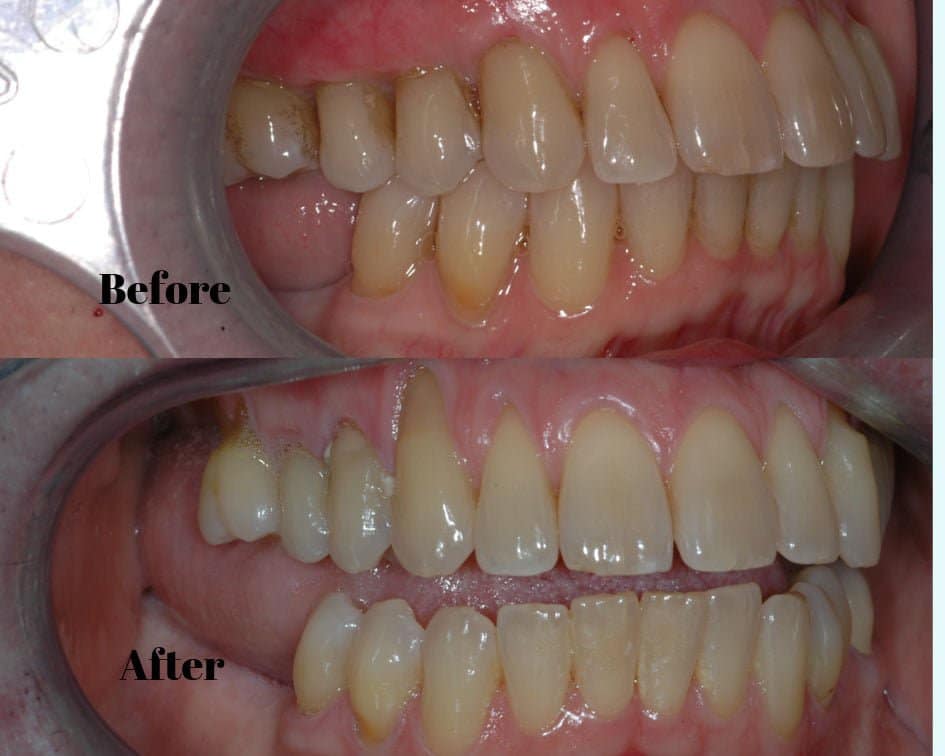
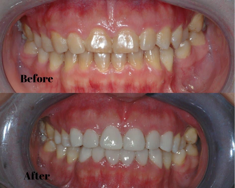
Transform Your Smile: Choose a Treatment
TMJ/TMD Treatment
Dr. Ha is a graduate of the Pacific Training Institute for Facial Aesthetics and Therapeutics (PTIFAT) – an advanced anatomy-based facial rejuvenation training organization known for it’s high caliber of teaching and patient care practices. As a graduate, Dr. Ha joins some of the most highly trained and qualified cosmetic and therapeutic injectables practitioners in North America. Speak to us today about how botulinum toxin can help you smile.
What is Botulinum Toxin?
Botulinum toxin is highly effective in relaxing muscles and reducing pain from hyperactive muscles. Whether you are simply trying to get your grinding and clenching under control to minimize damages to your teeth, or you are looking for a solution to improve the quality of your life free from headaches and jaw aches, botulinum toxin may be your answer.
We are Proud of Our Excellent Reputation!
See What Our Patients Are Saying:
About Dr. Gina Ha & Associations
With integrity, honesty and genuine kindness, I will strive to earn your trust.
Dr. Gina Ha, DDS
25 years of experience
Participates in continuing education
Combines artistic and technical skill for healthy smiles that look incredible.
Goes above and beyond for your comfort
Meets and exceeds dental standards set out by the RCDSO
State of the art Technology
The latest technology makes a big difference for the quality of patient care a clinic like ours can provide. We only use digital X-Rays, which drastically reduce the dose of radiation when compared to film X-Rays. We also use internal cameras to take pictures of the inside of your mouth, so you can see exactly what’s going on and much more.
Easy Communication
Put your mind at ease. Dr. Ha and all our staff take the time to actually listen to what you have to say. We’re always open for conversation, and we love to laugh!
Light Sedation Options
Some people can feel a bit stressed about going to the dentist, so in order to provide all types of patients with a great dental experience we can induce light sedation with nitrous oxide, which is gentler and less risky than other deep sedation methods.
6
Reasons
Our Patients
Love Us
After Care
We set you up with all of the information you need to ensure the best success from your procedures. We also follow up to make sure you’re happy with your experience. It’s also a great time to ask us any questions you might have.
We’re on the subway line – perfect for commuters!
Many busy, working professionals simply don’t have the time to get to most dental offices. At Dr. Gina Ha & Associates, we’re open until 6 or 7 PM most weekdays, and are open on Saturdays. We’re located right above the Yonge & Sheppard subway station, so stopping by is a breeze.
We work with your insurance so
there are no surprises
We process all types of insurance. But that’s not all. We go the extra mile and keep a careful eye on your limits, to help make sure that you never go over. And if you need a big procedure, we’ll send estimates to your insurance company before we begin, so there are no surprises. That way, you can take care of your teeth with confidence!
State of the art Technology
The latest technology makes a big difference for the quality of patient care a clinic like ours can provide. We only use digital X-Rays, which drastically reduce the dose of radiation when compared to film X-Rays. We also use internal cameras to take pictures of the inside of your mouth, so you can see exactly what’s going on and much more.
Easy Communication
Put your mind at ease. Dr. Ha and all our staff take the time to actually listen to what you have to say. We’re always open for conversation, and we love to laugh!
Light Sedation Options
Some people can feel a bit stressed about going to the dentist, so in order to provide all types of patients with a great dental experience we can induce light sedation with nitrous oxide, which is gentler and less risky than other deep sedation methods.
After Care
We set you up with all of the information you need to ensure the best success from your procedures. We also follow up to make sure you’re happy with your experience. It’s also a great time to ask us any questions you might have.
We’re on the subway line – perfect for commuters!
Many busy, working professionals simply don’t have the time to get to most dental offices. At Dr. Gina Ha & Associates, we’re open until 6 or 7 PM most weekdays, and are open on Saturdays. We’re located right above the Yonge & Sheppard subway station, so stopping by is a breeze.
We work with your insurance so there are no surprises
We process all types of insurance. But that’s not all. We go the extra mile and keep a careful eye on your limits, to help make sure that you never go over. And if you need a big procedure, we’ll send estimates to your insurance company before we begin, so there are no surprises. That way, you can take care of your teeth with confidence!
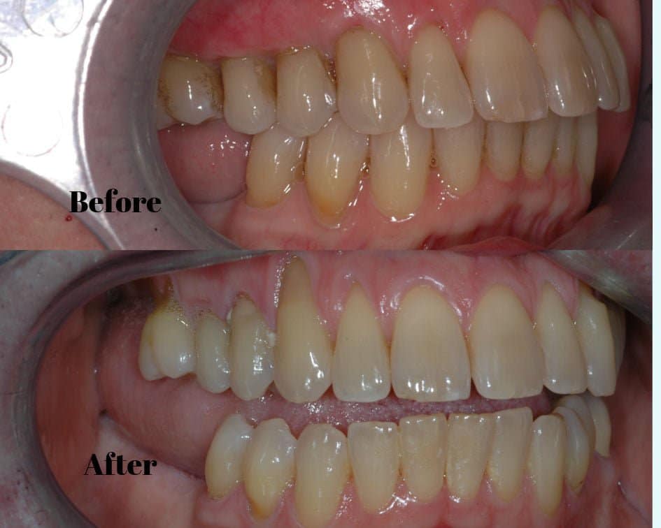
Summer Smile Makeover
A healthy, radiant smile goes with you wherever you go! When you whiten your teeth at the dentists, the results are much faster and more noticeable than doing it at home.
Come visit us this summer, and save $50 on in-office whitening.
Summer Smile Makeover
A healthy, radiant smile goes with you wherever you go! When you whiten your teeth at the dentists, the results are much faster and more noticeable than doing it at home.
Come visit us this summer, and save $50 on in-office whitening.
Talk To Us About
Your Smile Today
We create an open environment for conversation. Our team will conduct a detailed assessment with no obligation, and help create a plan for your dental needs.
